氟斑牙怎么治疗?
氟斑牙是因为在牙齿发育时期摄入了过量的氟引起的牙釉质发育不全,严重影响了一个人的形象,因此,氟斑牙美白势在必行。
氟斑牙怎么治疗?
氟斑牙的治疗根据症状的不同而有所差异,氟斑牙大概根据症状的轻重可以分为三种,轻度、中度和重度,氟斑牙治疗方法具体有:
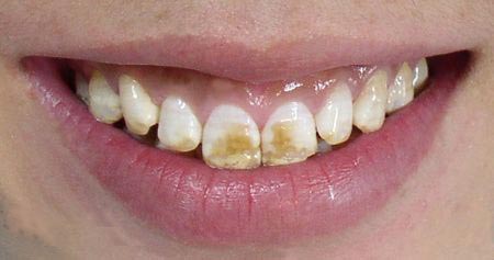
1、轻度氟斑牙:轻度的氟斑牙牙齿整体颜色还可以,就是有些黄斑,白斑的面积不大,往往在门牙上,影响美观。
推荐方法:彩光美白,瓷贴面修复
2、中度氟斑牙:中度的氟斑牙,牙齿有轻度或者缺损很少,就是有大面积的牙齿颜色发黄,黄斑。
推荐方法:瓷贴面、树脂贴面
3、重度氟斑牙:重度氟斑牙,牙齿有缺损,有些甚至磨损的比较严重了。颜色也黄的很厉害,甚至有部分已经发暗发黑。>>>更多方法,在线咨询<<<
推荐方法:美牙冠
彩光美白,牙贴面,美牙冠,有效治疗氟斑牙
1、彩光美白。它将高强度彩光定点照射,它不仅可以去除牙齿表面的色素沉积,及深层所附着的色素,美白效果长久有效,短时间即可让您拥有一口润白亮泽的牙齿。具有长久、自然、快速、专业、安全等五大优势。
2、牙贴面。贴面修复是在不磨牙或是尽量少磨牙的情况下,通过粘接材料,将一层的薄薄的瓷料修复体固定在患者的牙齿部位,从而达到修复的一种方法。
3、美牙冠。主要针对重度氟斑牙且牙齿有缺损的患者,美牙冠运用计算机辅助设计和制作,完成备牙、光学取模、设计、研磨、试戴、安装等全部程序,修复时间短,效果好。
那如何预防氟斑牙
尽量不要喝含氟量高的水:饮用水中含氟量过高导致氟斑牙的重要原因之一,因此应减少对含氟水的摄入,有限的避免氟斑牙形成。
做到早发现早治疗:因为氟斑牙对牙齿的伤害是非常大的,对于外在形象也有很大的影响,所以当出现氟斑牙时应及早的治疗,防止氟斑牙的加重。
慎用含氟牙膏:使用含氟牙膏虽能有效防治龋齿,但如果使用不当,也容易导致氟牙症的形成。
温馨提示:以上就是关于氟斑牙的相关内容了,如您还有其它疑问可在线咨询或拨打口腔热线:0512-67873033进行咨询。同时康贝佳口腔医生提醒大家,无论是选择哪种美白方式,都应选择专业的口腔机构,专业、放心。
在线免费挂号通道
预约优先就诊、免口腔检查/拍片费
( 所有信息都将进行保密处理,请您放心填写)








